
Một trong những thắc mắc mà khách hàng thường hỏi khi đến nha khoa là: “Tẩy trắng răng có hại không? Có làm mòn men răng không?”. Đây là nỗi lo phổ biến vì ai cũng mong muốn sở hữu hàm răng trắng sáng nhưng lại sợ ảnh hưởng đến sức khỏe răng miệng.
Trong bài viết này, Ann Dentist – Nha khoa tận tâm tại Đà Nẵng sẽ giúp bạn hiểu rõ sự thật, phân tích dựa trên góc nhìn chuyên môn nha khoa, đồng thời chia sẻ những phương pháp tẩy trắng răng an toàn, không gây hại đến men răng.
Tẩy trắng răng là gì?

Tẩy trắng răng là phương pháp nha khoa sử dụng hóa chất oxy hóa (hydrogen peroxide hoặc carbamide peroxide) kết hợp ánh sáng/laser để phá vỡ các phân tử gây ố vàng, xỉn màu trên bề mặt răng.
-
Đây là thủ thuật không xâm lấn, tức là không mài răng, không can thiệp sâu vào cấu trúc răng.
-
Kết quả: răng trắng sáng hơn từ 2–4 tông màu chỉ sau một liệu trình ngắn.
👉 Tuy nhiên, nếu thực hiện sai cách, nhiều người sẽ cảm thấy ê buốt và lầm tưởng rằng tẩy trắng răng có hại cho men răng.
Men răng và vai trò bảo vệ
-
Men răng là lớp ngoài cùng, cứng nhất trên bề mặt răng, có chức năng bảo vệ ngà và tủy răng.
-
Men răng không có khả năng tái tạo tự nhiên, vì vậy mọi người rất lo sợ mất men răng.
Thực tế khoa học:
-
Nhiều nghiên cứu đã chứng minh: tẩy trắng răng đúng kỹ thuật không làm mòn men răng.
-
Hiện tượng ê buốt chỉ là do thay đổi tạm thời trong ống ngà, không phải do men răng bị phá hủy.
👉 Vì thế, câu hỏi “tẩy trắng răng có hại không?” có thể trả lời: Không, nếu được thực hiện tại nha khoa uy tín.
Vì sao có người nghĩ tẩy trắng răng gây hại?
-
Tẩy trắng tại nhà sai cách: dùng thuốc trôi nổi, nồng độ cao → gây bỏng lợi, ê buốt kéo dài.
-
Làm ở cơ sở kém uy tín: không được bác sĩ kiểm soát, dễ lạm dụng ánh sáng mạnh.
-
Không chăm sóc sau tẩy trắng: ăn uống nhiều cà phê, trà, thuốc lá khiến răng nhạy cảm hơn.
Các phương pháp tẩy trắng răng hiện nay
1. Tẩy trắng răng tại phòng nha (Laser Whitening)
-
Sử dụng thuốc nồng độ cao, kết hợp laser.
-
Ưu điểm: nhanh chóng, hiệu quả sau 1 buổi.
-
Nhược điểm: chi phí cao hơn.
-
Mức độ an toàn: rất cao nếu do bác sĩ thực hiện.
2. Tẩy trắng răng tại nhà (theo chỉ định nha sĩ)
-
Bác sĩ cấp máng tẩy + thuốc nồng độ thấp.
-
Ưu điểm: tiết kiệm, tiện lợi, chủ động.
-
Nhược điểm: cần kiên trì, kết quả chậm.
-
Mức độ an toàn: cao, vì có hướng dẫn cụ thể.
3. Sản phẩm tẩy trắng tự do (không khuyến khích)
-
Miếng dán, thuốc không rõ nguồn gốc.
-
Ưu điểm: giá rẻ, dễ mua.
-
Nhược điểm: nguy cơ hỏng men răng, bỏng lợi, ê buốt nặng.
So sánh nhanh các phương pháp
| Phương pháp | Thời gian | Hiệu quả | Mức độ an toàn | Chi phí |
|---|---|---|---|---|
| Tẩy trắng tại phòng nha | 1–2 giờ | Trắng rõ 2–4 tông | Rất an toàn | 1.500.000/ 2 hàm |
| Tẩy trắng tại nhà | 7–14 ngày | Trắng từ từ | An toàn | 1.500.000/ 1 bộ |
| Tự ý dùng sản phẩm | Không kiểm soát | Kém ổn định | Nguy cơ hại men răng | Rẻ |
Quy trình tẩy trắng răng an toàn tại Ann Dentist

-
Khám và tư vấn tình trạng răng.
-
Cạo vôi răng, vệ sinh sạch mảng bám.
-
Cách ly lợi bằng dung dịch bảo vệ.
-
Bôi thuốc tẩy trắng chuẩn y khoa.
-
Kích hoạt bằng laser, rút ngắn thời gian.
-
Kiểm tra kết quả, dặn dò sau điều trị.
👉 Bên cạnh tẩy trắng răng, khách hàng tại Ann Dentist còn quan tâm nhiều dịch vụ như cạo vôi răng định kỳ, niềng răng trong suốt Invisalign và bọc răng sứ thẩm mỹ.
Chi phí tẩy trắng răng tại Ann Dentist (tham khảo)

-
Tẩy trắng răng Laser tại phòng nha: 1.500.000 VNĐ.
-
Tẩy trắng răng tại nhà: khoảng 1.500.000 VNĐ/bộ máng tẩy & thuốc
💡 Lưu ý: Giá có thể thay đổi theo tình trạng men răng và chương trình ưu đãi.
Lời khuyên của bác sĩ Ann Dentist
-
Chỉ nên tẩy trắng răng 1–2 lần/năm.
-
Nên thực hiện tại phòng khám uy tín.
-
Tránh cà phê, trà, rượu vang đỏ trong 1 tuần sau tẩy.
-
Duy trì vệ sinh răng miệng hàng ngày + tái khám định kỳ.
Tóm lại, câu hỏi “tẩy trắng răng có hại không?” có thể khẳng định: Không, nếu được thực hiện đúng kỹ thuật tại nha khoa uy tín.
Tại Ann Dentist – Nha khoa tận tâm tại Đà Nẵng, chúng tôi mang đến giải pháp tẩy trắng răng an toàn, bảo vệ men răng và mang lại nụ cười tự tin cho khách hàng.
👉 Đặt lịch ngay hôm nay để trải nghiệm dịch vụ tẩy trắng răng tại Ann Dentist!
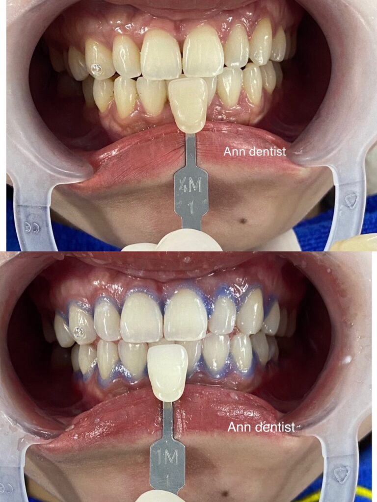
Hình ảnh khách hàng trước và sau tẩy trắng răng tại Ann Dentist





FAQ (Hỏi – Đáp thường gặp)
1. Tẩy trắng răng có hại không?
→ Không, nếu thực hiện tại phòng nha uy tín, dưới sự kiểm soát của bác sĩ.
2. Tẩy trắng răng có làm mòn men răng không?
→ Không. Men răng vẫn được bảo toàn, ê buốt chỉ là tạm thời.
3. Bao lâu nên tẩy trắng răng một lần?
→ 1–2 lần/năm, tùy tình trạng và chỉ định của bác sĩ.
4. Tẩy trắng răng có hiệu quả vĩnh viễn không?
→ Không, hiệu quả duy trì 1–3 năm, tùy chế độ ăn uống và chăm sóc.
Các bài viết được quan tâm nhiều:

Có thể bạn quan tâm
SỰ THẬT PHŨ PHÀNG: Kỹ Thuật “Mài Răng bọc sứ Lỗi” Đã Hủy Hoại 80% Răng Thật Của Khách Hàng Như Thế Nào?
Comprehensive dental care combo at Ann Dentist Da Nang
so sánh phương pháp trồng răng implant